
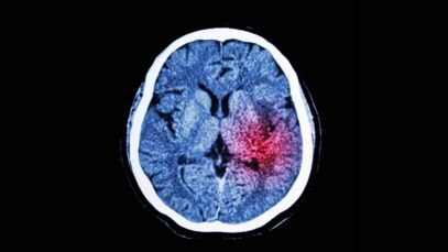
A recent survey conducted by an Auckland University of Technology lecturer has found that a Stroke is a serious health condition especially amongst the Pasifika community.
The survey conducted by Dr. Felicity Bright,a Senior Lecturer in Rehabilitation, published in the New Zealand Medical Journal, aims to identify social factors, issues and inconsistencies in support for people who have suffered from a stroke.
“There’s a need for consistency in how stroke patients are supported, and highlighted the importance of mood screenings from health services, surveying, more training for nurses and medical staff on post-stroke care, and more research into more holistic approaches toward strokes,”
“The need for additional support for staff, particularly in the areas of psychology, anxiety, and rehabilitation through engagement,” says Dr. Bright.
The team is now working on developing resources to help improve services for people who have had a stroke. These resources will focus on addressing the gaps identified in the survey and providing more support for stroke patients and their families.
CEO of the Stroke Foundation, Jo Lambert, says Pasifika people tend to experience strokes at a younger age compared to Europeans.
By emphasising that Pasifika individuals are experiencing strokes 10 -15 years earlier in their lives than Europeans, Lambert highlights the importance of recognising and addressing underlying factors.
Lifestyle choices, socioeconomic conditions, cultural factors, and access to healthcare services may play a role in the increased vulnerability of the Pasifika population to strokes.









